Endodoncja
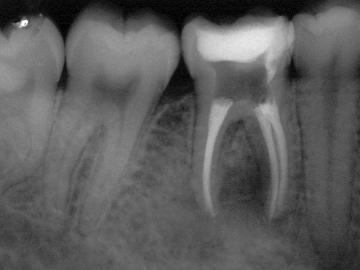
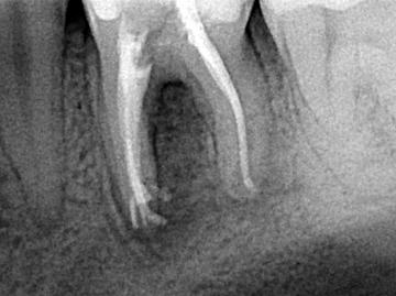
Endodoncja, czyli leczenie kanałowe zębów. Zabieg najczęściej wykonuje się w wyniku powikłań głębokiej próchnicy. Każdy z nas chciałby posiadać zdrowe zęby, które całe życie będą służyły do gryzienia i rozdrabniania pokarmów.
Każdy ząb zbudowany jest z zębiny i szkliwa, czyli substancji tworzących rdzeń zęba oraz miazgi, która odżywia i unerwia ząb. Niestety drobnoustroje bytujące w ubytkach zębów prowadzą do nieodwracalnych stanów zapalnych miazgi zęba, które skutkują koniecznością leczenia kanałowego. Generalnie zabieg polega na usunięcia zainfekowanej miazgi, poszerzenia światła kanałów i ich dokładnego wypełnienia. Dzięki tej popularnej metodzie możemy zachować zęba w jamie ustnej na dalsze lata. Jednak ze względu na brak odżywania, zęby leczone kanałowo są kruche i podatne na złamania. W związku z tym wymagają odpowiedniego zabezpieczenia aby służyły przez kolejne lata. Najpopularniejszą metodą to pokrycie zęba kosmetyczą koroną porcelanową.



