Stomatologia estetyczna
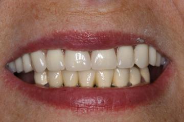
Stomatologia estetyczna to szeroko pojęta dziedzina stomatologii. Najpopularniejszymi zabiegami stomatologii estetycznej to wybielanie zębów, zakładanie licówek oraz piaskowanie i usuwanie kamienia nazębnego.
Stomatologia estetyczna to szeroko pojęta dziedzina stomatologii. Najpopularniejszymi zabiegami stomatologii estetycznej to wybielanie zębów, zakładanie licówek oraz piaskowanie i usuwanie kamienia nazębnego.